Dr. Henning Madsen - Kieferorthopäde

Kieferorthopädie

Stabilisierungsphase

Stabilisierungsphase

…nach der Behandlung unbedingt nötig!

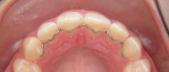
Gesunde und schöne Zähne zaubern euch nach dem Entfernen der festen Zahnspange ein strahlendes Lächeln ins Gesicht! Damit das ein Leben lang so bleibt, stabilisieren wir das tolle Ergebnis mit herausnehmbaren oder noch lieber mit festen Zahnspangen, den so genannten Retainern (von engl. to retain = zurückhalten). Herausnehmbare Retainer können aussehen wie übliche Kinderzahnspangen oder wie transparente Aligner. Ein festsitzender Retainer ist ein unauffälliger, dünner Draht, der im Ober- und Unterkiefer auf die Innenseite der sechs Frontzähne geklebt wird.

Fester Retainer auf der Innenseite der oberen Frontzähne
Fester Retainer auf der Innenseite der oberen Frontzähne

In unserer kieferorthopädischen Praxis in Mannheim empfehlen wir vor allem feste Retainer, da der Draht die Zahnstellung zuverlässig und langfristig erhält, ohne dass er stört. Feste Retainer sind leicht zu reinigen ist und außerdem auf Dauer eine kostengünstige Lösung. Als erfahrene Kieferorthopäden wissen wir, dass unsere Patienten mit festsitzenden Retainern einfach am besten zu recht kommen.

Man kann auch herausnehmbare Apparaturen zum Stabilisieren nutzen. Damit sie ihre Wirkung entfalten können, müsst ihr jedoch bereit sein, sie jede Nacht zu tragen – und zwar lebenslang! Aber seid ihr sicher, dass das klappt? Eine gute Möglichkeit herausnehmbarer Stabilisierung sind die Vivera-Retainer der Firma Align. Sie werden gerne nach Invisalign-Behandlungen gewünscht, können aber auch nach Behandlungen mit festsitzenden Zahnspangen eingesetzt werden. Vivera-Retainer sehen aus wie Invisalign, sind aber aus einem festeren Material gefertigt. Es werden immer drei Vivera-Retainer pro Kiefer zu einem günstigen Preis geliefert. Damit kommt man schon ein paar Jahre aus.

In Deutschland Standard, aber eher zweitklassig: Platten zum nachts Tragen
In Deutschland Standard, aber eher zweitklassig: Platten zum nachts Tragen
Etwas komfortabler: herausnehmbare Schienen zum nachts Tragen
Etwas komfortabler: herausnehmbare Schienen zum nachts Tragen

Wenn man gerade Frontzähne behalten will, muss man die Retainer für immer tragen. So ist es leider: die Stabilisierungsphase dauert lebenslang! Dies sollten Kieferorthopäden ihren Patienten eigentlich immer vor der Behandlung erklären. Es ist doch jedesmal traurig, wenn einige Zeit nach der mühevollen kieferorthopädischen Behandlung gerade die vorderen Zähne, die man am meisten sieht, wieder schief geworden sind!

#News #trend #kfo

Aktuelles